When I Finally Faced My “Not-So-Normal” Toes
For a long time, I kept telling myself my toes still looked normal. I noticed them angling slightly inward, but I brushed it off as tiredness or the way I stood.
But when the pressure and discomfort became harder to ignore, I finally went to the doctor because I was worried about what he might confirm.
And he did: bunions — on both feet.
“One foot is always a little worse than the other, but having bunions on both sides is common when flat feet affect both arches.”
What a Bunion Actually Is
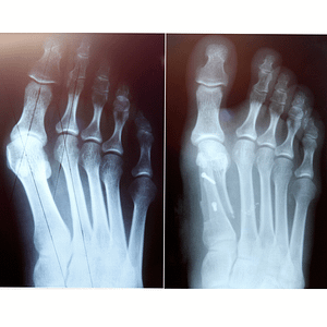
A bunion (hallux valgus) is not just a bump on the side of the foot.
It’s a structural misalignment of the big-toe joint:
- The long bone behind the big toe shifts outward
- The big toe angles inward
- The joint becomes more prominent, irritated and sensitive
This misalignment affects how the foot carries weight and often makes shoes feel tight even when the size hasn’t changed.
How Bunions Are Classified
Doctors classify bunions using the Hallux Valgus Angle (HVA), which measures how far the big toe shifts inward.
A mild bunion has an angle of less than 20°, showing only a slight inward tilt.
A moderate bunion measures 20° to 40°, where the bump becomes noticeable and the toe deviates more clearly.
A severe bunion is greater than 40°, creating a strong inward angle where the big toe may start to touch or crowd the second toe.
Why Bunions Happen — and Why Flat Feet Make Them Worse
Even though tight, narrow shoes can make bunions progress faster, bunions usually begin from structure, not footwear.
Common causes include:
- Hereditary foot structure
- Flexible (hypermobile) joints
- Weak foot muscles
- Flat feet and over-pronation
When the arch collapses, the ankle rolls inward, increasing pressure on the big-toe joint.
That pressure slowly pushes the bone outward and the toe inward — the same mechanism behind many bunions in people with flat feet.
“I never wore narrow heels or pointy shoes. My flat feet made me feel unstable in them. So when bunions appeared, I knew the cause wasn’t fashion — it was how my feet were built.”
If You Don’t Have Flat Feet
People with normal or even high arches can still develop bunions due to:
- inherited bone alignment
- narrow shoes
- arthritis
- joint laxity
- uneven gait patterns
So bunions aren’t exclusive to flat feet — they appear in many foot types for different reasons.
Signs It’s a Bunion (Not Just a Bump)
You may notice:
- big toe leaning toward the second toe
- a bump forming at the big-toe joint
- redness or swelling in that area
- discomfort in narrow or tight shoes
- a callus forming on the side of the foot
- difficulty finding shoes that feel comfortable
These are typical early indicators that the joint is shifting.
Why Bunions and Flat Feet Often Go Together
Flat feet create a chain reaction:
- Arch collapses
- Ankle rolls inward
- Pressure shifts toward the big-toe joint
- Bone drifts outward
- Toe angles inward
This mechanical pattern is why many people with flat feet eventually develop bunions — it’s the same pressure path repeated with every step.
Looking Ahead — What You Can Actually Do
Bunions don’t reverse on their own, but they can be managed, slowed and made less painful with the right habits.
In Part 2, I’ll break down:
- supportive shoes for bunions + flat feet
- simple habits that reduce daily pressure
- toe and arch exercises that help alignment
- tools that make a noticeable difference
Understanding the “why” is the foundation.
How you support your feet each day is what changes how they feel.



